医生说我的牙齿需要“打桩”,怎么一回事?-牙齿要打桩一定要做根管治疗吗
牙齿需要“打桩”?怎么一回事
打什么桩?不是刚做了根管治疗吗?装冠就装冠,打桩干嘛?听着就疼……
最近一段时间,有很多因为深龋做了根管治疗的小伙伴跑来问:“我这个根管好折腾,来回跑好几趟了,怎么还要来打桩呢?”下面,就来给你解释解释~~~
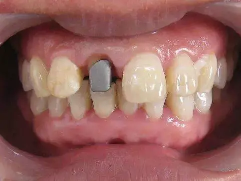
给牙齿打桩,是指在牙齿缺损较大,或因为外伤等原因只剩下牙根时,因剩下的牙齿过短或力量过于薄弱,不能用修复体(主要指烤瓷牙)直接修复,需要给牙根里打桩,加固并延长折断的牙齿,以使假牙能获得足够的力量固定。
01 什么样的牙齿状况需要打桩
1. 由于龋坏(虫牙),外伤等原因造成牙冠大面积缺损者;
2. 牙齿缺损只剩下牙根,牙根还可以利用,残根(已经没有牙冠)根面达牙龈下,牙周健康,牙根有足够的长度,经牙龈切除术能暴露出根面者;
3. 错位,扭转牙而没有条件做正畸治疗或非正畸适应者。
02牙齿打桩用什么材料好?
牙齿打桩用的材料有很多,常用的主要有纤维桩和金属桩。
03注意事项
打桩需谨慎小心,根管治疗后,打桩很可能刺激到原来的创伤,导致根裂的疼痛发作。所以要注意以下事项:
1. 一般建议患者做完治疗后多观察一段时间,没有不适再行打桩做冠(以防有侧支根管或者治疗不完善)。
2. 做过治疗的牙齿一般脆性比较大,不建议打金属桩,可以选择纤维桩,减少根裂的机率。
3. 牙齿如果受过外伤,一定在治疗的时候把情况告诉医生,以便医生掌握牙齿的全面情况。




